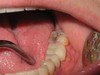
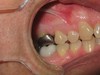
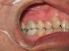
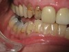
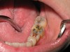
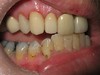
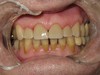
Crowns (Caps)
Click a photo to view full-sized images and case details
Schedule Your Consultation Today!
Don’t let gum disease compromise your oral health. If you are experiencing symptoms or want to ensure your gums are healthy, contact Hoosier Family Dentistry today.
Schedule Your Appointment
