Patient's upper left lateral incisor needed a large restoration. AFTER: In less than an hour, we were able to provide the patient with a very affordable solution. Although the tooth should probably have a crown at some point because of the size of the filling, the patient was ecstatic with the quick solution to her problem.
Patient Photos Depicting:
Patient Photos Depicting:
Note: Patients depicted in photos have provided their consent to display their pictures online. Results may vary.
At this patient's cleaning appointment, we found that her upper first molar had a fracture on the inner front corner. We discussed her options to restore the tooth to health. After considering a crown or a filling, she decided to save money by doing a filling, recognizing that she may need a crown in the future. AFTER: We replaced the existing metal filling, adding on the broken portion of the tooth. The patient was thrilled with the value and prompt service she received in our office.
Patient Photos Depicting:
Patient Photos Depicting:
Note: Patients depicted in photos have provided their consent to display their pictures online. Results may vary.
A new patient, this nice lady's front teeth had one loose filling and some decay around other existing fillings. AFTER: We replaced the fillings, making them a slightly lighter shade in anticipation of the patient bleaching her teeth. She was thrilled with the instant upgrade in her smile, and with the fact that she never felt a thing.
Patient Photos Depicting:
Patient Photos Depicting:
Note: Patients depicted in photos have provided their consent to display their pictures online. Results may vary.
This patient's upper left lateral incisor was decayed and broken. The canine next to it also had a cavity at the gumline. AFTER: A couple of hours later, she had a beautiful, strong e.max crown on the incisor and a nice composite filling on the canine.
Patient Photos Depicting:
Note: Patients depicted in photos have provided their consent to display their pictures online. Results may vary.
BEFORE: This patient had cavities between his front teeth. AFTER: Less than an hour later, he walked out with fillings that blended beautifully.
Patient Photos Depicting:
Patient Photos Depicting:
Note: Patients depicted in photos have provided their consent to display their pictures online. Results may vary.
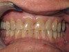
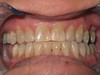
BEFORE: Patient had extensive decay and wear on anterior teeth. AFTER: Placed crowns on upper anterior teeth, restoring them to proper function and esthetics.
Patient Photos Depicting:
Patient Photos Depicting:
Note: Patients depicted in photos have provided their consent to display their pictures online. Results may vary.
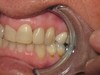
The patient was unhappy with esthetics and noticed chipping on the upper incisors. The left lateral incisor was in crossbite. AFTER: We placed four porcelain crowns on the upper incisors, resulting in improved esthetics and proper alignment of the teeth.
Patient Photos Depicting:
Patient Photos Depicting:
Note: Patients depicted in photos have provided their consent to display their pictures online. Results may vary.
Patient's upper right first molar had a very large silver filling that was beginning to break down and crack. AFTER: With CEREC technology, the patient was able to have a porcelain crown that strengthened the tooth and beautified it all in one appointment.
Patient Photos Depicting:
Patient Photos Depicting:
Note: Patients depicted in photos have provided their consent to display their pictures online. Results may vary.
It had been several years since this young lady had been to a dentist. She came to our practice as a new patient with pain in two lower left teeth. X-rays showed abscesses on both teeth, and an intraoral examination showed decay and breaks. AFTER: We did root canals on both teeth, relieving the pain. Later, she returned for crowns on both teeth. With the wonderful technology of CEREC, she walked away with her permanent crowns that day, ecstatic with the result.
Patient Photos Depicting:
Patient Photos Depicting:
Note: Patients depicted in photos have provided their consent to display their pictures online. Results may vary.
The patient had stain and decay around her upper right canine and lateral incisor. AFTER: We placed strong, esthetic BruxZir crowns that blend in well with the surrounding dentition.
Patient Photos Depicting:
Patient Photos Depicting:
Note: Patients depicted in photos have provided their consent to display their pictures online. Results may vary.