Call (812) 367-1639

RESTORATIONS

Click a photo to view full-sized images and case details
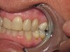
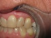
Crowns (Caps)
Before
After
Before
After
Before
After
Fixed Bridges
Before
After

Schedule Your Consultation Today!

Don’t let gum disease compromise your oral health. If you are experiencing symptoms or want to ensure your gums are healthy, contact Hoosier Family Dentistry today.

Schedule Your Appointment

Testimonials

View More APPOINTMENT REQUEST